- Overview
- Recommended Products
The 4th Generation Superconducting MRI System
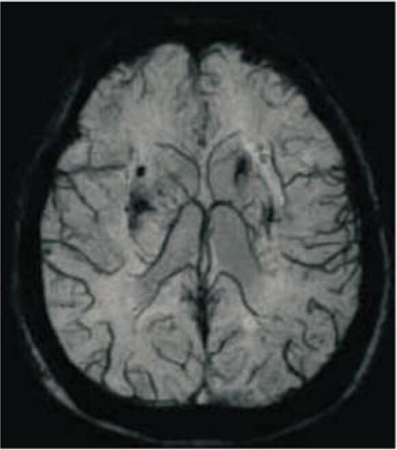
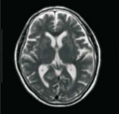
SuperMark 1.5T is a latest generation superconducting MRl system based on over 30 years of experience in research and development, which focuses on user's concerns. This system is equipped with a new upgraded hardware and software platforms with A-combi and Al technologies that benefit users a lot and deliver patients with more comfortable experiences. It features new user-friendly design, faster imaging speed, higher image quality and greatly improved work efficiency.
SuperMark 1.5T provides not only conventional pulse sequences and basic clinical applications, but also advanced functional applications. Moreover, it adopts brand new professional APEX operation system which ensures easy operation and fast diagnosis
Short bore superconducting magnet
High magnetic field uniformity, easy to achieve large FOV rapid imaging and high-quality fat suppression imaging
Liquid helium "zero" boil-off technology
High cost-effective SuperMark 1 .5T equipped with" 4K cold head and utilizes "zero" boil-off technologies which ensure stable running without liquid helium refilling






















